تسجيل 90 إصابة بالدفتيريا بولاية لعصابة

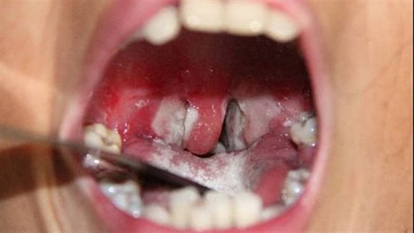
قال وزارة الصحة إن مجموع حالات المشتبه بإصابتها بوباء الدفتيريا “الخناق” في ولاية العصابة، بلغ 90 حالة، توفيت منها 8، وشفيت 62 حالة، وما زالت 20 حالة تحت العلاج.
وأكدت الوزارة أن 84 حالة مشتبه فيها، تم تسجيلها في كنكوصة، بولاية العصابة، منها 62 حالة شُفيت بالكامل، و15 حالة ما تزال تحت العلاج، بينما بلغ عدد الوفيات 7 حالات، منها 4 حالات وفاة منزلية لم تخضع لاستشارة طبية سابقة.
كما أكدت الوزارة تسجيل 6 حالات في مقاطعة كرو، توفيت واحدة منها، و5 تحت العلاج.
وتحدثت الوزارة عن تنفيذ خطة وطنية عاجلة شملت إرسال فرق تدخل سريعة إلى الولايات الأكثر تضررا، وهي الحوضين، والعصابة، وتعزيز المراقبة الوبائية في جميع النقاط الحدودية والمراكز الصحية، وتدريب الفرق الصحية على تطبيق بروتوكولات التشخيص والعلاج.
كما أكدت توفير الأدوية والمضادات الحيوية ومصل الدفتيريا (DAT) في المستشفيات الجهوية، وإطلاق حملة لتطعيم الأطفال والفئات الهشة في المناطق المعرضة للخطر، وتنظيم حملات توعية وتحسيس للرفع من مستوى اليقظة والوعي لدى السكان المحليين.
وشددت الوزارة على أن الوضعية تحت السيطرة، وفقا لمعطيات الفرق الصحية الميدانية التي باشرت تقصي الحالة الوبائية.
وذكرت الوزارة بأن موريتانيا شهدت عودة لظهور مرض الدفتيريا منذ أكتوبر 2023 بمقاطعة باسكنو، كما شهد عام 2024 تسجيل عشرات الحالات منه في ولايتي الحوض الشرقي وكوركل.
وفي هذا العام 2025 تم تسجيل 202 حالة إصابة من هذا المرض بولايات الحوضين والعصابه، شُفيت منها 154 حالة، وتوفيت 15 حالة (7 في العصابه + 8 في الحوض الغربي)، هذا في حين تخضع 41 حالة للعلاج، منها 22 في المستشفيات و19 في العلاج الخارجي.
ودعت الوزارة المواطنين للحرص على تطعيم الأطفال في المواعيد المحددة؛ والاستفادة من الحملة المنظمة حاليا في المناطق المذكورة، إضافة إلى تجنب التجمعات غير الضرورية في المناطق التي شملها التقصي، ومراجعة أقرب منشأة صحية فور ظهور أعراض الحمى أو التهاب الحلق أو صعوبة التنفس.